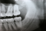
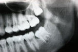
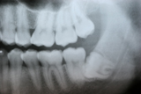
Wisdom Tooth Removal

Sometimes wisdom teeth are not functional, but instead create swelling and pain in the surrounding soft tissue, and they need to be taken out.

During the development of wisdom teeth, they often push away their neighboring teeth and contribute to anterior teeth crowding. Therefore, extraction of wisdom teeth is recommended in their early stage of eruption to prevent anterior crowding. The stress of eruption of wisdom teeth that grow horizontally causes dental decay on the 2nd molars and extraction is recommended before dental decay initiates.

Before / After

Before / After