Implants

In this procedure, titanium implant bodies that are dental root form are surgically placed and fused with your jawbone, and act as an anchor for natural-looking false teeth. Dental implants are used for individual tooth replacement, and can also be used when replacing multiple teeth as an alternative to dentures.

Advantages of Dental Implants

Implants look extremely natural
Fusion of the implants into your jaw make them very stable and comfortable compared to traditional dentures
Implants can last a lifetime

Disadvantages of Dental Implants

Implants are a major financial investment
The process of getting implants can be time consuming and requires multiple office visits
There is a chance the surgery may fail (the successful rate is roughly 98% in the literature but there is no experience of failure in this office)

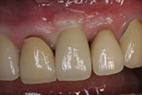
An implant is placed for a missing front tooth.
What a nice smile!

After an implant, they found their beautiful smiles!