Composite Fillings

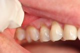
The procedure typically involves removing the decayed portion of your tooth and filling it with composite materials.

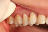
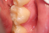
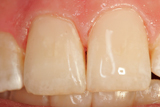
Composite fillings are used to fill decayed cavities of teeth, to build up chipped or broken teeth, and to decrease the gap between teeth.

Before / After

Before / After

Before / After